After two long months of debilitating headaches and vision problems, I was finally diagnosed in July 2025 with a cerebral venous sinus thrombosis (CVST), a rare and dangerous clot in the veins that drain the brain, at 24 years old.
My first ER trip was in May, when I showed up with stabbing head, neck, and ear pain that painkillers couldn’t touch. I’d rarely ever had headaches, and certainly not ones like this that made it impossible to work or sleep through the night. The ER doctor ruled out infection and sent me home with nausea medication, calling it migraine.

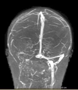
Two weeks later, I was back in the ER with another severe headache, sudden vision changes, weakness and tingling on my left side, and confusion. An MRI with contrast was done, but I was told it was normal and advised to “take a nap” next time — it was “probably migraine and anxiety.”
Deep down, I knew something was wrong. A year earlier, I’d been diagnosed with essential thrombocythemia with JAK2 mutation, a rare blood cancer that makes clots more likely. Out of desperation, I started myself on baby aspirin. Incredibly, my symptoms eased, and I could function again while I waited for answers.
In mid-July, an MRV finally revealed the truth: a clot in my right transverse and sigmoid sinuses. I was rushed to the neuro ICU, where I spent 10 days on a heparin drip. Now I’m on lifelong blood thinners, plus medication to keep the pressure in my head under control, while we wait for the clot to resolve. I’ll also be working with a specialist to better manage my essential thrombocythemia.
Looking back, we realized the clot was visible on my June MRI but was missed, delaying my diagnosis by more than six weeks. This entire experience has turned my world upside down, but I’m so grateful to still be here. The future feels uncertain, but I’ve learned that I’m stronger than I ever imagined, and that by trusting myself and speaking up, I saved my own life.

You know your body best. If you know something is wrong, fight for yourself! Don’t accept “anxiety” as an answer when you know something is really wrong. I feel this is especially important for women, as we’re more likely to get dismissed and not taken seriously.
Resources
CVST Stories
Living Your Best Life on Blood Thinners
New Patient Guide
